深耕儿童呼吸,聚力临床研究——小儿荆杏止咳颗粒 Ⅳ 期临床试验项目启...
2026-05-11
近日,西航医院承接的小儿荆杏止咳颗粒IV期临床研究启动会顺利召开。此次项目聚焦儿童呼吸道疾病临床核心需求,由儿科牵头推进,相较于医院此前承接的真实世界研究(RWS)项目,IV期临床研究的...
2026-05-11
近日,西航医院承接的小儿荆杏止咳颗粒IV期临床研究启动会顺利召开。此次项目聚焦儿童呼吸道疾病临床核心需求,由儿科牵头推进,相较于医院此前承接的真实世界研究(RWS)项目,IV期临床研究的...
2026-03-27
被猫狗抓伤/咬伤后 是不是还在犹豫 「要不要打疫苗」「去哪打」「什么时候打」? 西航医院犬伤门诊 24小时在线 为您筑牢健康防线! 以下情况,一定要重视! 很多人认为「家养宠物」打过疫苗,...
2026-03-20
顺利开展;术后禁食期间,泵内剂量实时动态调整,血糖控制理想,恢复良好。陈先生对治疗效果非常满意。路江鸿主任也由衷感慨:“以前担心血糖,现在安心手术。血糖交给内分泌团队,患者安心,我...
2026-03-12
很多人对失眠的认知,停留在“睡不着就吃点药”,“压力大调整心态就好”。 临床上,长期入睡困难、睡眠表浅、易醒、早醒,是常见的睡眠障碍表现。往往和大脑神经调节、脑电波节律、皮层兴奋性...
2026-02-26
什么是TCD发泡试验? 您可以把它想象成一次精密的“气泡追踪侦查”。 TCD:是“经颅多普勒”的缩写,简单说,就是用个探头像听诊器一样放在您的太阳穴附近,无痛、无创地监测大脑里主要血管的...
2026-01-07
你是否总因工作日抽不出时间,把胃镜检查一拖再拖? 你是否担心身体发出的“胃肠预警”,却被忙碌的工作和学习绊住脚步? ... ... 好消息来啦!为切实解决广大群众“上班没空查、请假不方便”的...
2025-12-30
操作顺利,无出血并发症,术后经专业护理,患者恢复良好,已顺利出院。 这是我院胃镜诊疗中心开展的首例内痔套扎硬化治疗,标志着科室在消化内镜微创诊疗领域实现新突破,诊疗服务范围进一步拓...
2025-12-05
近日,一场与“高龄”博弈的心血管诊疗在心内科学科带头人卢少平教授团队的主导下圆满落幕——团队成功为94岁高龄患者实施冠状动脉造影术,不仅精准锁定血管病变“症结”,更以科学方案打破“超...
2025-11-24
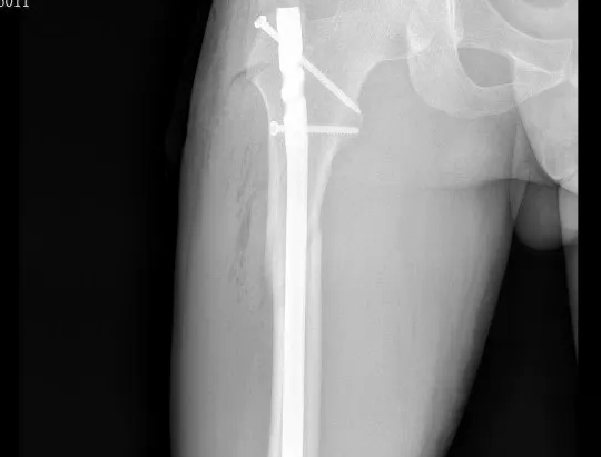
“叮铃铃……”急诊科来电:“马上接收一名车祸伤患者,男性,31岁,右侧髋部损伤!”接到通知后,我院骨科医护团队迅速响应,第一时间完成伤情查体。只见患者右髋及股骨区域肿胀明显、严重畸形...
2025-11-06
近日,一位52岁女性患者因双侧外阴肿物伴明显压痛来我院妇科就诊。经查体发现,其双侧外阴肿物大小约4×5cm,触诊有明显压痛。血常规提示严重贫血,血红蛋白仅63g/L。 在追问病史过程中,患者透...