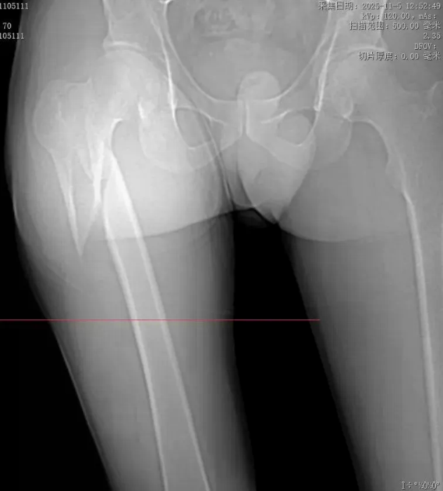
“叮铃铃……”急诊科来电:“马上接收一名车祸伤患者,男性,31岁,右侧髋部损伤!”接到通知后,我院骨科医护团队迅速响应,第一时间完成伤情查体。只见患者右髋及股骨区域肿胀明显、严重畸形,呈异常弯折,疼痛剧烈,无法活动,场面触目惊心。
骨科医师团队随即启动专科诊疗流程。经急诊影像学检查,确诊为“股骨粗隆下骨折”——这是骨科领域公认的复杂骨折类型,愈合难度大、治疗风险高。该部位是下肢力量传导的关键节点,肌肉附着多、应力集中,骨折后易出现三维畸形,复位困难,且不愈合率居高不下,再叠加患者此次高能量损伤导致的严重移位,若治疗不当,不仅可能导致终身残疾,更会让患者陷入长期病痛折磨。

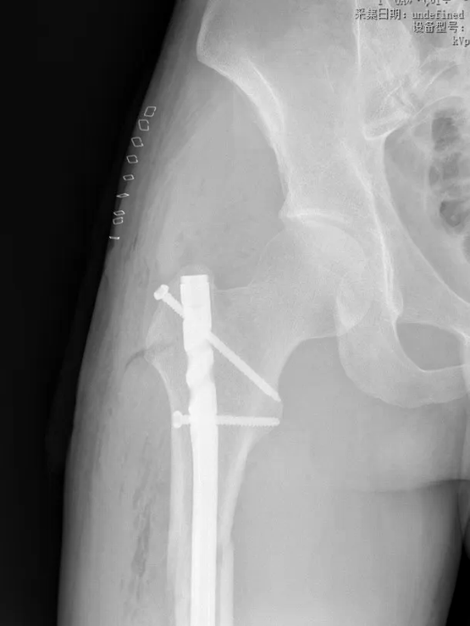
面对这一公认的“硬骨头”病例,我院骨科团队迅速组织病例研讨,结合患者伤情特点与影像学检查结果,经综合评估后决定采用“闭合复位内固定术”这一精准诊疗方案。 团队的底气在此刻尽显——骨科路江鸿主任牵头明确治疗方向。“我敢闭合你就敢愈合”,这并非一句空泛的口号,而是源于团队多年深耕疑难骨折诊疗的技术积淀:针对该骨折治疗中“复位难、固定难、愈合难”的三大核心痛点,团队已形成成熟的诊疗方案,更在闭合复位内固定技术上积累了丰富经验,这是对自身实力的绝对自信,更是对患者生命健康的责任担当。
由李继松副主任医师、佘晗主治医师及刘兴医生组成的创伤团队的每一位成员都沉着应对、默契配合,在影像引导下精准定位骨折端,把控角度与深度,最终实现骨折端的完美复位。整个手术过程行云流水,既克服了该骨折复位难、固定要求高的技术痛点,又实现了微创化操作,术中出血量极少,患者生命体征平稳。历经1小时的精细雕琢,这台高难度手术以近乎完美的状态圆满结束。

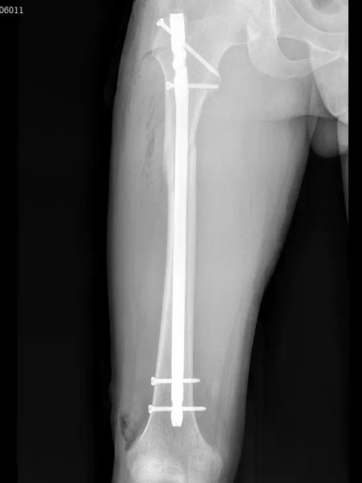
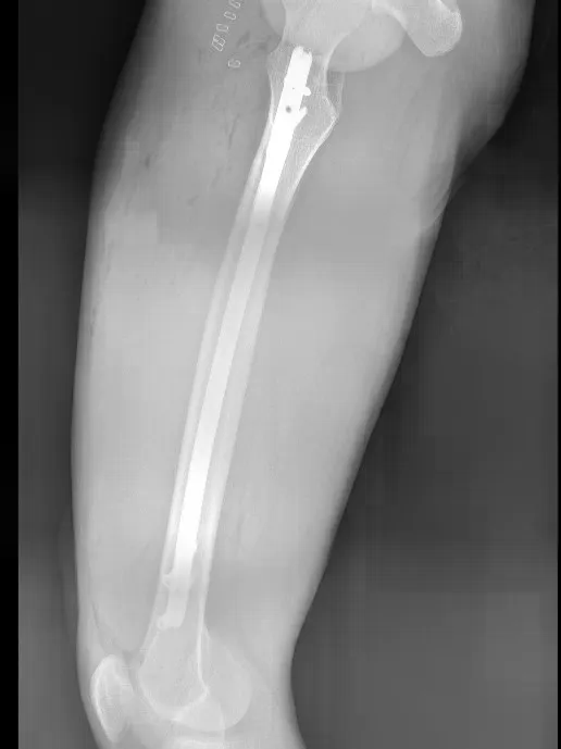
术后,在骨科医护团队的细心指导与护理下,康复科同步介入,为患者制定个性化康复功能锻炼方案并全程指导,加速肢体功能恢复,术后第2天即可在床上进行简单肢体活动,疼痛症状明显缓解;术后1周,床上膝关节活动度达90°,髋关节活动度90°,肢体功能逐步恢复。复查影像学显示,骨折端复位精准、内固定位置稳固,完全达到临床理想标准,为后续愈合奠定了坚实基础。



此次手术的成功,既彰显了我院多学科协作的高效联动能力,更凸显了骨科团队在复杂骨折治疗中“精准诊断、精湛操作、沉着应变”的硬核实力。面对股骨粗隆下骨折这一“臭名昭著”的难治性骨折,医院以快速响应为基础,以技术突破为核心,用“严丝合缝”的完美手术证明了综合诊疗实力。
未来,我院将继续深化多学科协作模式,精进骨科疑难病症诊疗技艺,以更快速的响应、更精准的治疗、更优质的服务,为更多骨骼创伤患者守护生命健康,撑起康复蓝天。